Good News! South Delhi based Dental Clinic is known for excellence in dental care and is one of the best dental clinics in Delhi, specializing in Dental Implants and treatment of all type of dental problems.
About
Dr Lanka Mahesh
Dr Praful Bali
Dr Sumit Dubey
Dr Varun Raj Kumar
Dr Tanvi Paliwal
DR Zara Dhawan
The Clinic
Treatment Photos
Patient Testimonials
Video Testimonials
Services Offered
Courses/Continuing Education
Training Center
Testimonials
Patient Testimonials
Video Testimonials
Articles
Contact Us
About
Dr Lanka Mahesh
Dr Praful Bali
Dr Sumit Dubey
Dr Varun Raj Kumar
Dr Tanvi Paliwal
DR Zara Dhawan
The Clinic
Treatment Photos
Patient Testimonials
Video Testimonials
Services Offered
Courses/Continuing Education
Training Center
Testimonials
Patient Testimonials
Video Testimonials
Articles
Contact Us
Schedule a Checkup
Schedule a Checkup
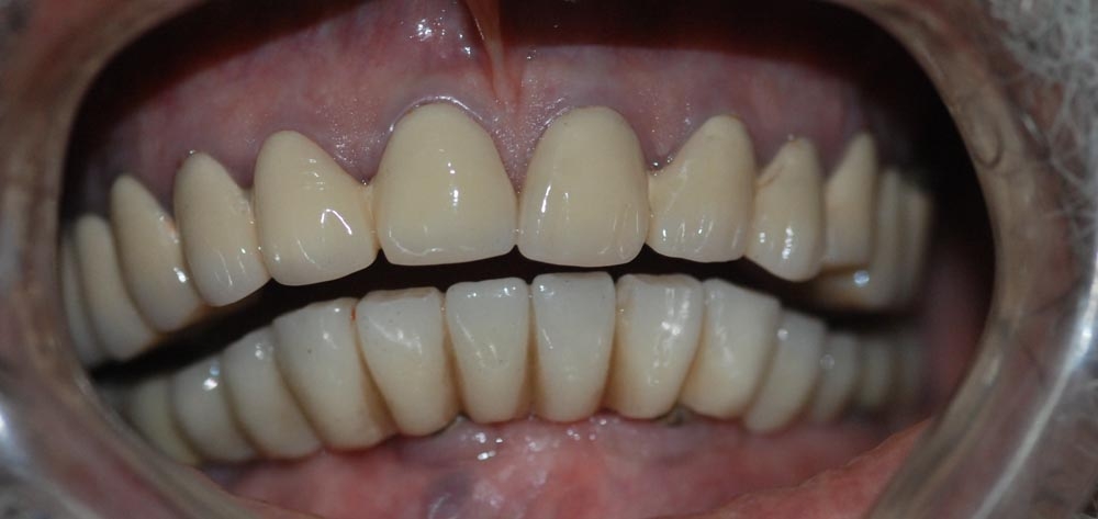
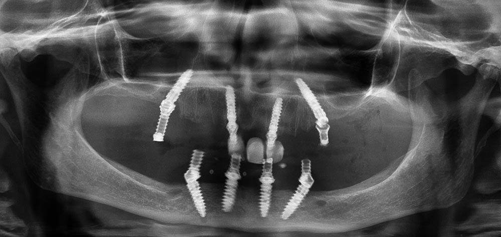
All on 4/ Teeth in a Day
Home
Treatment Photos
The Specialist Clinic,
Basement M-5, Mandir Marg,
Block M, Saket,
New Delhi, 110017
Instagram
Services Offered
Implant Dentistry
Cosmetic Dentistry
Treatment of Gum Diseases
Full Mouth Rehabilitation
Orthodontics Including Invisible Aligners
Maxillofacial Surgery
More Links
About us
Dr Lanka Mahesh
Services Offered
Testimonials
Contact us
Contact Us
+91-8588872658
drlanka.mahesh@gmail.com
Basement M-5, Mandir Marg, Block M, Saket,
New Delhi, Delhi 110017
The Specialist Clinic Dental & Medical Care © 2025. All Rights Reserved